Diş ve ağız içi bakımına gerekli özen gösterilmediği takdirde ve buna ilaveten dengesiz beslenme eklenerek diş etlerinde enfeksiyonlar oluşur ve neticesinde diş etlerinde iltihaplanma meydana gelir.
Genel itibari ile diş etlerindeki iltihaplanma enfeksiyonlardan kaynaklanır. İltihabın oluştuğu bölge kişiden kişiye değişiklik göstermektedir. Diş eti iltihaplanması kendiliğinden birkaç gün içinde geçer. Yalnız diş eti iltihaplanması bir haftadan uzun sürüyorsa diş doktoruna muayene olması tavsiye olunur.
Diş Eti İltihaplanması Nedir?
Diş eti iltihabı enfeksiyonların yol açtığı bakteriyel kaynaklı oral bir hastalıktır. Yani ağız ve diş sağlığına bağlı olarak ortaya çıkan bir hastalık türü olarak ifade edilebilir. Diş iltihabı kişiden kişiye farklılık gösterebildiği gibi kimilerinde herhangi bir problem teşkil etmez iken bazı kişilerde de büyük inflamasyonlar görülebilmektedir. Diş eti iltihabı hastalığına neden olan etkenler araştırılıp bulunmaz ve gereken bakım gösterilmez ise kişilerde diş kaybına kadar yol açabilir.
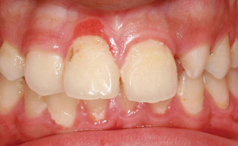
Diş Eti İltihabı Belirtileri Nelerdir?
Diş eti iltihabı belirtileri arasında en yaygın olarak görünenler şunlardır;
- Diş etlerinde kızarıklık ya da minik minik şişlikler,
- Beyaz renkte oluşan iltihaplar,
- Dişlerin fırçalanması esnasında dişlerde meydana gelen kanama,
- Diş etinin gözle görülür şekilde çekilmesi,
- Dişlerde Gevşeklik meydana gelerek dişlerin sallanması,
- Ağız kokusu,
- Sıcak ve soğuk gıdalara karşı hassasiyetin oluşması,
- Lokmaların çiğnenmesi esnasında oluşan ağrı olması gibi belirtiler gösterilebilir.
Diş Eti İltihabına Yol Açan Nedenler Nelerdir?
Diş eti iltihabına yol açan birçok neden vardır. En yaygın nedenleri arasında cep gibi olan dişlerin arasına yiyecek attıkları ve plakların yerleşip orada kalmasıdır. İleride bu yiyecek artıklarını plakalar diş eti iltihabına neden olabilmektedir. Öte yandan ağız bakımına gerekli özenin gösterilmemesi diğer bir yaygın nedenidir. Yanlış diş fırçalama yöntemi uygulanması ya da hiç diş fırçalamasının yapılmaması da en yaygın nedenleri arasında sayılabilir. Bunlara ilaveten farklı sebeplere dayalı diş etlerinde iltihaplanma meydana gelebilir. Bu diş eti iltihabına yol açan nedenlerden bazıları ise şunlar söylenebilir;
- Sigara kullanımı,
- Şeker hastalığı,
- Hamilelik,
- Kemoterapi ilaçları,
- Kırık dolgular,
- Dişin yapısından kaynaklanan yapısal bozukluklar,
- Vitamin eksikliği,
Genetik faktörler ifade edilebilir.
Diş Eti İltihabı Teşhisi Nasıl Konulur?
Diş eti iltihabı teşhisi koyabilmek için dişlerde görülmesi gereken Birtakım bulgular meydana gelmesi gerekir. Bunların bazıları ise şunlardır; dişlerde hassasiyet, dişlerde ağrı, şişlik, iltihap, sıcak ve soğuğa karşı hassasiyetin oluşması gibi etkenler ifade edilebilir.
Diş Eti İltihabı Tedavisi
Diş etlerinde iltihap tedavisin de erken teşhis önemlidir. Erken teşhis edilmeyen durumlarda hastaların dişlerinde kayıplar meydana gelebilir. Bunun için en erken zamanda vakit kaybetmeden bir diş doktoruna muayene olunması gerekmektedir. Öte yandan iyi bir ağız ve diş bakımını alışkanlık haline getirmek gerekir. Mutlaka günde en az iki defa doğru fırçalama yöntemleri kullanarak diş eti iltihaplanmalarına ve diş kayıplarının önüne geçilmiş olunur. Aynı zamanda diş ipi kullanımını da özen gösterilmelidir. Ağır sayılabilecek diş eti iltihaplanmalarında diş doktorun size reçete edeceği ilaçlarında kullanımı büyük önem taşımaktadır. Diş eti iltihabı tedavi sonrasında ağzınıza ve dişlerinizi göstereceğiniz gerekli özen her zaman rutin haline gelmelidir. Böylelikle diş eti iltihabına yakalanma riskiniz de minimum seviyeye inmiş olacaktır.
Diş Eti İltihabına Ne İyi Gelir?
Diş eti iltihabına maruz kalan birçok insanın aklındaki soru şudur; diş eti iltihabı evde nasıl tedavi edilir? Hangi yöntemler kullanılabilir. Aşağıda denenen uygulamaların hiç biri tedavi edici bir yöntem olmamakla birlikte diş iltihabı ciddi bir hastalığın belirtisi olabileceğinden vakit geçirmeden bir dişhekimine görünmeniz önemlidir.
- Diş eti iltihaplarına en iyi çözüm gösterilecek ağız ve diş hijyen yönünden doğru fırçalama, ağız temizleme teknikleri ile bu problemin önüne geçilebilir. Bu yöntemi rutin hale getiren kişilerin diş etlerinde pes pembelik görülecek ve sağlıklı diş etlerine sahip olabileceklerdir.
- Mümkün olduğunca agresif fırçalama tekniklerini kullanmama ve dişlerini yabancı cisimlerle karıştırmamakta önemlidir.
- Kanıtlanmamış bazı çalışmalar neticesinde zerdeçal bitkisinin diş etini iltihaplarına iyi geldiği görülmüştür. Bunun için bir çay kaşığı kadar zerdeçalın içine yarım çay kadar tuz ve yarım çay kadar hardal yağı ilave ederek bir macun kıvamında karışım meydana getiriniz. Bu karışımı günde iki defa kullanınız.
- Bir diğer etkili yöntem ise bilgisel gargara yapmaktır. Bunun için 100 gr biberiyeyi ve 2 bardak kaynatılmış suyun içine koyup 8 saat boyunca demlemeye bırakın. Daha sonra bu karışımı normal bir gargara yaparak ağzınızı çalkalayın. Bu karışımı geceden yapıp sabaha kadar bekletmeniz daha uygun olacaktır.
- Diş eti iltihaplarına iyi gelen bir diğer bitki ise Aloe Vera’dır. Aloe Vera bitkisinin içerisinde jele benzer yapışkan bir sıvı madde vardır. Bu jel iltihaplı bölgeye sürülerek 5 dakika bekledikten sonra gargara yapıp tükürülür.
Sizlerde diş eti iltihaplanmasını önlemek adına yukarıda verilen uygulamaları bir diş hekimine gidene kadar acil durumlarda kullanabilirsiniz.
Burada en önemli görülen husus kişiler tarafından ağız ve diş eti bakımına gösterilmesi gereken hassasiyet ve özen mutlaka rutin hale getirilmelidir. Ağız ve diş bakımı her gün yapılmalı ve dişler mutlaka fırçalanmalıdır. Aynı zamanda yılda en az iki defa bir diş doktoruna muayene olmanız tavsiye olunur.
